橈骨茎状突起骨折・尺骨茎状突起骨折
最終更新日:2025年05月09日

- 監修者
- よつば総合法律事務所
弁護士 粟津 正博
橈骨茎状突起骨折と尺骨茎状突起骨折は、手首の関節内の骨折です。
この記事では、橈骨茎状突起骨折や尺骨茎状突起骨折による後遺障害が残る被害者にむけて、原因や治療法、後遺障害の認定基準などを交通事故に詳しい弁護士が解説します。
橈骨茎状突起骨折や尺骨茎状突起骨折の後遺障害は専門的な判断が必要です。気になることや悩みがある場合、まずはよつば総合法律事務所へお問い合わせ下さい。

目次
橈骨茎状突起骨折とは
橈骨は、腕を支える二本の細長い骨のうち、親指側の骨です。
橈骨茎状突起は、手首に近い側の細くとがった突起状の部分です。
下の図の赤丸の部分になります。

橈骨茎状突起骨折は、橈骨遠位端骨折の一種で、橈骨茎状突起に斜めに骨折線が入った骨折型です。
ショーファー骨折ともいいます。ショーファーとはフランス語で自動車運転手のことを指します。昔、セルモーターがなかった時代にクランクハンドルを回す必要があり、これが逆回転することでよくこの骨折が発生したためについた名称です。
橈骨茎状突起骨折の原因
橈骨茎状突起骨折は、手を伸ばした状態で転倒して、手を強くついたたときなどに起こります。受傷機転は、手関節を背屈側(手の甲側)あるいは橈屈側(親指側)に強制的に曲げられ、茎状突起が舟状骨(しゅうじょうこつ)と衝突した際に引き起こされます。
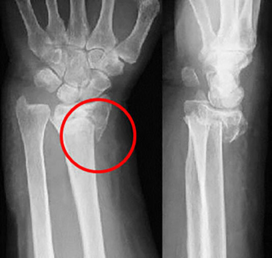
診断は、レントゲンで骨折や転位の有無を確認します。
下のレントゲン写真では、橈骨茎状突起に斜めに骨折線が入り、骨折していることがわかります。

橈骨茎状突起骨折の治療
徒手整復に引き続いてギプス固定を行いますが、転位が生じたときは、手術が行われます。転位とは骨のズレのことです。
交通事故で橈骨茎状突起骨折が生じるような強い外力が加わったときは、手関節内に他の骨折が起きていることが多く、このような場合は手術を行っても傷病部位が安定せず、予後はよくありません。
橈骨茎状突起骨折の合併症
周囲の腱損傷や骨折を伴うことがあります。
特に茎状突起と舟状骨が衝突して起こる骨折であるため、舟状骨骨折(しゅうじょうこつこっせつ)を合併する可能性があります。
また、変形性手関節症に発展することもあります。
尺骨茎状突起骨折とは
尺骨は、腕を支える二本の細長い骨のうち、小指側の骨です。
尺骨茎状突起は、手首に近い側の細くとがった突起状の部分です。手首の小指側のちょうどポコッと突き出たところです。
下の図の青丸の部分になります。


尺骨茎状突起骨折は、単独での骨折は稀で、通常橈骨遠位端骨折に合併して起こります。
初診時は、見落とされることもしばしばですが、癒合しなくても、痛みが残らないことも多いです。症状が残る場合は、手首を回すと痛みが出ます。橈骨遠位端骨折よりも骨癒合はしにくく、ギプス固定期間を長くする必要があります。
尺骨茎状突起骨折の原因

交通事故では、二輪車を運転中あるいは歩行中に衝突され、手をつくように転倒した際に発症することが多いです。
尺骨茎状突起骨折の治療
転位がない場合は、ギプスやシーネなどで固定し保存療法が選択されます。
転位がある場合は、手術も考慮されます。
遠位橈尺関節に不安定性が認められるときは、尺骨茎状突起骨片を接合して関節をギプスで固定します。
偽関節で痛みが激しいときは、骨片の摘出術が実施されます。
尺骨茎状突起骨折が発生したとき、茎状突起の上部にあるTFCC損傷を合併することが多く、その場合は、遠位橈尺関節に不安定性を生じ、手関節に可動域制限と疼痛が発生します。TFCC損傷を合併する場合、関節鏡により縫合が行われています。
尺骨茎状突起骨折やその偽関節化を確認することはXPでできますが、TFCC損傷の有無は、MRI撮影または関節造影検査でないと確認できません。
尺骨茎状突起骨折の合併症
単独での骨折は稀で橈骨遠位端骨折を合併するほか、茎状突起の上部にあるTFCC損傷を合併することが多いです。
橈骨茎状突起骨折・尺骨茎状突起骨折の後遺障害
橈骨茎状突起骨折・尺骨茎状突起骨折で認定されうる後遺障害は、機能障害、変形障害、神経障害の3種類です。| 8級6号 | 1上肢の三大関節中の1関節の用を廃したもの |
|---|---|
| 10級10号 | 1上肢の三大関節中の1関節の機能に著しい障害を残すもの |
| 12級6号 | 1上肢の三大関節中の1関節の機能に障害を残すもの |
| 12級8号 | 長管骨に変形を残すもの |
|---|
| 12級13号 | 局部に頑固な神経症状を残すもの |
|---|---|
| 14級9号 | 局部に神経症状を残すもの |
機能障害(手関節の動く範囲の制限)
機能障害は、手関節が動く角度を測定し、異常があるときの後遺障害です。動かない程度が大きいほど上位の等級になります。
| 8級6号 | 1上肢の三大関節中の1関節の用を廃したもの |
|---|---|
| 10級10号 | 1上肢の三大関節中の1関節の機能に著しい障害を残すもの |
| 12級6号 | 1上肢の三大関節中の1関節の機能に障害を残すもの |
手関節の可動域制限の場合、原則として屈曲と伸展による運動を参照します。
可動域の測定にはルールがあります。詳細は関節可動域表示並びに測定法(日本リハビリテーション医学会)をご確認ください。
認定のためには、単に数値上の基準を満たすだけではなく、そのような可動域の制限が生じることについて医学的な説明ができることが必要です。
橈骨茎状突起骨折・尺骨茎状突起骨折は、関節内の骨折なので、可動域制限による後遺障害が認定される可能性があります。
「用を廃したもの」(8級)
「用を廃したもの」(8級)とは次のいずれかの場合です。
- 手関節が全く動かない場合
- 手関節の可動域が、負傷していない側の1/10以下に制限されている場合
- 人工手関節置換術を行い、可動域が負傷していない側の1/2以下に制限されている場合
著しい機能障害(10級)
「関節の機能に著しい障害を残すもの」(10級)とは次のいずれかの場合です。
- 手関節の可動域が、負傷していない側の1/2以下に制限されている場合
- 人工手関節置換術を行った場合
機能障害(12級)
「関節の機能に障害を残すもの」(12級)とは次の場合です。
- 手関節の可動域が、負傷していない側の3/4以下に制限されている場合
変形障害(骨折部の偽関節や変形)
変形障害とは、骨折した部分がくっつかなかったり、変形して癒合した場合の後遺障害です。後遺障害認定基準は次のとおりです。
| 12級8号 | 長管骨に変形を残すもの |
|---|
「長管骨に変形を残すもの」(12級)とは、橈骨茎状突起骨折・尺骨茎状突起骨折の場合、以下の場合をいいます。
- 橈骨又は尺骨の骨端部に癒合不全を残すもの
- 橈骨又は尺骨の骨端部のほとんどを欠損したもの
神経障害(手関節周辺の痛み)
神経障害の後遺障害認定基準は次のとおりです。
| 12級13号 | 局部に頑固な神経症状を残すもの |
|---|---|
| 14級9号 | 局部に神経症状を残すもの |
橈骨茎状突起骨折や尺骨茎状突起骨折後、痛みやしびれを残すときは12級か14級になることがあります。
12級は、画像から客観的に異常が分かり、痛みが残ることが医学的に証明できる場合です。たとえば、次のような場合は12級になることがあります。
- 骨が変形してあるいは不正に癒合して、これが原因で痛みが生じる場合
- 関節面に不正を残して骨癒合して、これが原因で痛みが生じる場合
また、TFCC損傷や神経損傷を合併し、その存在が客観的に証明できる場合もこれらを原因として、12級が認定されることがあります。
14級は、痛みが残ることが医学的に証明されているとまではいえないが、医学的に説明可能な場合です。
つまり、画像上痛みが生じる原因は明らかとはいえないものの、当初の受傷態様や治療内容、症状の一貫性などから、将来にわたり痛みが残ることが医学的に説明できる場合です。
通常橈骨茎状突起骨折や尺骨茎状突起骨折のみでは激しい痛みが残存するケースは少ないですが、TFCC損傷や神経損傷を合併して疼痛が改善しない場合、14級になることがあります。
当事務所の解決事例
尺骨茎状突起骨折の病名で後遺障害が認定され、当事務所が関わって解決したものとして以下の事例があります。
- 橈骨遠位端骨折、尺骨茎状突起後の手関節の可動域制限について12級6号が認定された事例です。交渉により保険会社提示額430万円から650万円増額する内容で示談しました。続きを読む
まとめ:橈骨茎状突起骨折・尺骨茎状突起骨折
橈骨茎状突起骨折・尺骨茎状突起骨折は、バイクや自転車で転倒し、手をついた際によく起こる症状です。
橈骨茎状突起骨折・尺骨茎状突起骨折の後遺障害は、主に機能障害・変形障害・神経障害があり、8級~14級まで等級があります。
橈骨茎状突起骨折・尺骨茎状突起骨折は、関節内の骨折であるため、可動域制限による後遺障害が認定される可能性があります。
橈骨茎状突起骨折・尺骨茎状突起骨折の後遺障害は専門的な判断が必要です。悩んだら、まずは交通事故に詳しい弁護士への相談をおすすめします。

- 監修者
- よつば総合法律事務所
弁護士 粟津 正博













