千葉で交通事故被害でお悩みの方へ。専門チームの弁護士に相談するなら
千葉
の
弁護士
による
交通事故
の
無料相談
千葉駅・柏駅・船橋駅の3拠点
慰謝料
示談交渉
後遺障害
むちうち
弁護士特約
初めての方へ
お客様の声
選ばれる理由
0120-916-746
受付時間:
平日・土日祝日 / 6:00~22:00
無料相談申し込み
0120-916-746
受付時間:
平日・土日祝日 / 6:00~22:00
無料相談申し込み
よつばの特長
よつばの特長トップ
ご相談から解決までの流れ
よつばが選ばれる理由
お客様の声
ご相談実例
よつばの交通事故への「想い」と「こだわり」
事故直後や治療中も相談できます
ご推薦者の言葉
保険代理店様向けサービス
整骨院様向けサービス
解決事例
弁護士紹介
弁護士紹介トップ
大澤 一郎
川﨑 翔
前原 彩
小林 義和
前田 徹
佐藤 寿康
今村 公治
三井 伸容
粟津 正博
加藤 貴紀
大友 竜亮
根來 真一郎
堀内 良
村岡 つばさ
佐々木 康之郎
辻 悠祐
松本 達也
坂口 香澄
辻 佐和子
川田 啓介
大竹 裕也
米井 舜一郎
安藤 孝起
小川 夏菜
小西 姫
杉山 賢伸
費用
交通事故知識ガイド
交通事故知識ガイドトップ
慰謝料
休業損害
逸失利益
後遺障害
賠償金の基準に注意
損害賠償の計算方法
損害賠償の詳細解説
過失相殺
むちうち
高次脳機能障害
遷延性意識障害
脊髄損傷
症状固定
後遺障害の詳細解説
労災保険
人身傷害保険
弁護士費用特約
事故発生から示談までの流れ
示談交渉の注意点
ご相談から解決までの流れ
保険会社は被害者の味方ではありません
交通事故でけがをした場合いつ弁護士に相談すべきか?
交通事故紛争処理センター
死亡事故
バイクの交通事故
自転車の交通事故
解決のために必要な書式・資料集
交通事故Q&A
事務所情報
事務所情報トップ
事務所概要
代表弁護士ご挨拶
交通アクセス
セミナー・研修会講師
執筆・メディア掲載
よくある質問
メニュー
ホーム
交通事故知識ガイド
高次脳機能障害Q&A
高次脳機能障害Q&A
交通事故と高次脳機能障害に関するよくあるご質問と回答です。
交通事故で高次脳機能障害と認定される条件は何ですか?
交通事故の被害にあいました。高次脳機能障害かもしれません。どのようにチェックすればよいですか?
高次脳機能障害の原因は何ですか?
高次脳機能障害の代表的な症状は何ですか?
高次脳機能障害の記憶障害とは何ですか?
高次脳機能障害の言語障害とは何ですか?
高次脳機能障害の遂行機能障害とは何ですか?
高次脳機能障害の社会的行動障害とは何ですか?
高次脳機能障害の失認とは何ですか?
交通事故による高次脳機能障害の失行とは何ですか?
半側空間無視とは何ですか?
高次脳機能障害は感情や行動に障害が起きることがありますか?
連合野に損傷があり高次脳機能障害です。どのような症状が出ますか?
高次脳機能障害になりました。脳は壊れやすいですか?
頭部外傷で脳室が変形し、高次脳機能障害となることはありますか?
神経線維の損傷は高次脳機能障害の原因ですか?
高次脳機能障害と脳しんとうの違いは何ですか?
高次脳機能障害と認知症の違いは何ですか?
高次脳機能障害では病院をどのように選べばよいですか?
交通事故の高次脳機能障害患者が医師に伝えるポイントは何ですか?
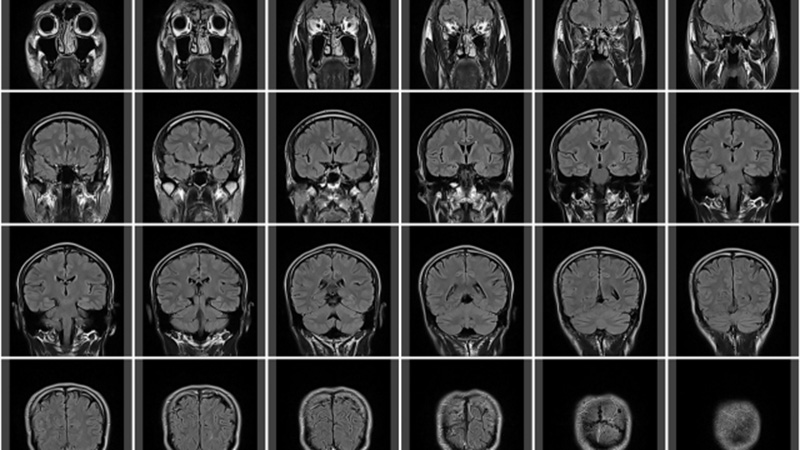
頭部外傷の高次脳機能障害です。CT検査とMRI検査の役割は何ですか?
高次脳機能障害の被害者です。GCSとJCSとは何ですか?
神経心理学的検査とは何ですか?
高次脳機能障害の医学的リハビリテーションとは何ですか?
高次脳機能障害の注意障害のリハビリはどのようにしますか?
高次脳機能障害の社会的行動障害のリハビリはどのようにしますか?
高次脳機能障害の生活訓練プログラムとは何ですか?
交通事故の頭部外傷で高次脳機能障害です。症状固定時期はいつですか?
高次脳機能障害の日常生活状況報告の注意点にはどのようなものがありますか?
高次脳機能障害では労災保険と自賠責保険で後遺障害等級が異なることがありますか?
交通事故の高次脳機能障害ではいつ示談交渉を始めるべきですか?
高次脳機能障害のときは成年後見申立が必要ですか?
高次脳機能障害の就労支援機関にはどのようなものがありますか?
交通事故で高次脳機能障害になりました。もう仕事に就くことは難しいですか?
交通事故のあと、高次脳機能障害に気付かず職場復帰したらどうなりますか?
高次脳機能障害の患者の家族が困ったときはどうすればよいですか?
本人は否定していますが高次脳機能障害です。家族はどうすればよいですか?
高次脳機能障害の診察に家族は同席した方がよいですか?
高次脳機能障害の家族を支援する制度はどのようなものがありますか?
家族が高次脳機能障害になりました。気持ちの整理を付けるにはどうすればよいですか?
高次脳機能障害の患者が利用できる福祉サービスは何がありますか?
交通事故で高次脳機能障害です。精神障害者保健福祉手帳とは何ですか?
交通事故の高次脳機能障害です。障害年金申請で注意することは何ですか?
交通事故の高次脳機能障害です。今後どのように治療費を支払っていけばよいですか?
内縁の夫が高次脳機能障害で重症です。どうすればよいですか?
子供の高次脳機能障害です。どのような点に注意すればよいですか?
高次脳機能障害の息子がいます。レスパイトケアを利用できますか?
交通事故で高次脳機能障害になったことに後で気付きました。どうすればよいですか?
高次脳機能障害の被害者です。加害者の態度に納得できません。どうすればよいですか?
交通事故知識ガイド
損害賠償・補償
慰謝料
休業損害
逸失利益
後遺障害
賠償金の基準に注意
損害賠償の計算方法
損害賠償の詳細解説
過失相殺
けが・治療
むちうち
高次脳機能障害
遷延性意識障害
脊髄損傷
症状固定
後遺障害の詳細解説
保険
労災保険
人身傷害保険
弁護士費用特約
その他お役立ち情報
事故発生から示談までの流れ
示談交渉の注意点
ご相談から解決までの流れ
初めての方へ
保険会社は被害者の味方ではありません
交通事故でけがをした場合いつ弁護士に相談すべきか?
交通事故紛争処理センター
死亡事故
バイクの交通事故
自転車の交通事故
解決のために必要な書式・資料集
交通事故に関するよくある質問
交通事故Q&Aトップ
治療Q&A
示談交渉Q&A
慰謝料Q&A
休業損害Q&A
後遺障害Q&A
逸失利益Q&A
過失相殺Q&A
保険Q&A
弁護士特約Q&A
労災Q&A
死亡事故Q&A
高次脳機能障害Q&A
主婦の交通事故Q&A
刑事事件Q&A
物損事故Q&A
その他交通事故Q&A